DR BHUSHAN M SABNIS
MS-Orth, DNB-Orth, MRCS-Edinburgh,
FRCS (Tr&Orth), Dip CAOS-UK-Glasgow
Online Consultation
+91 8928608377
thekneesolutions@gmail.com
About Dr. Sabnis
Services
Arthroscopic Knee Surgeries
Ligament Reconstructions
Management Of Complex Knee Trauma
Realignment Osteotomies
Management Of Unstable Patella
Partial Knee Replacements
Total Knee Replacements
Revision Total Knee Replacements
Testimonials
Videos
Complex Cases
Articles
Gallery
Book Appointment
Contact Us
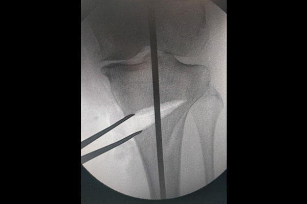
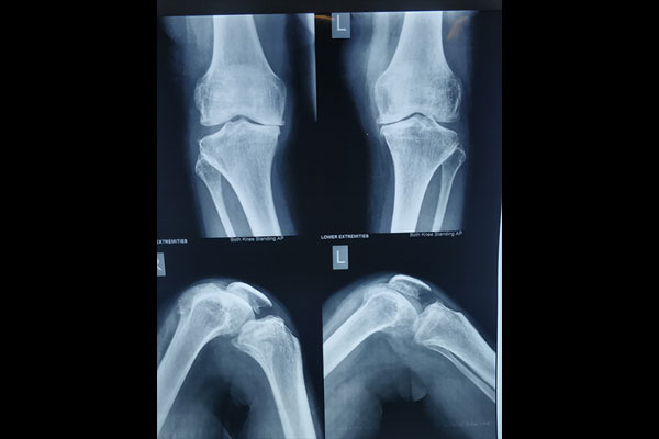
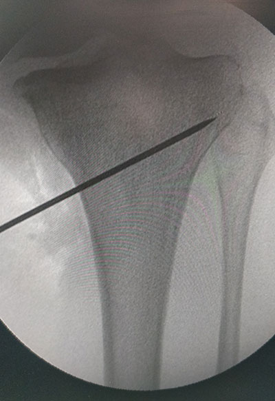
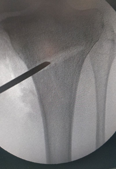
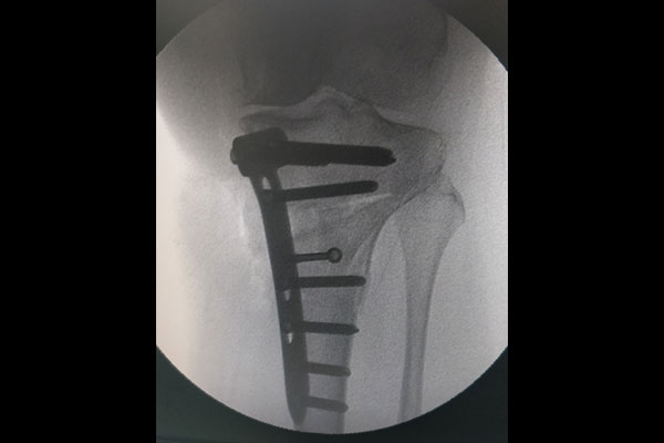
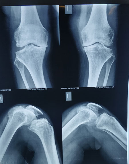
STEPS OF HTO
Home
/
Complex Cases
/
STEPS OF HTO